Investigadores del CIBERCV, liderados por Vicenta LLorente en el Hospital Sant Pau de Barcelona (IP: Antonio Bayes Genís), han identificado nuevos biomarcadores biofísicos y estructurales de remodelado ventricular en pacientes con enfermedad cardiovascular que abren un nuevo camino para avanzar en diagnósticos y tratamientos más personalizados.
Un equipo multidisciplinar, integrado por miembros del Departamento de Cardiología del Sant Pau y físicos de la Universidad de Toulouse, han desarrollado un modelo porcino traslacional de miocardiopatía dilatada en el que han identificado nuevos biomarcadores de remodelado cardiaco. “De forma innovadora nuestros resultados demuestran que el remodelado cardíaco no solamente se sustenta en la acumulación anómala de colágeno sino también en la acumulación de lípidos y en la fragmentación de las miofibrillas, que se debe a la síntesis de nuevas proteínas de baja estabilidad termal que las hace propensas a la degradación”, explica la Dra. Llorente.
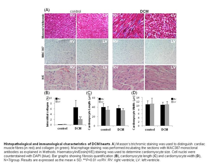
En este modelo, su equipo ha evidenciado la existencia de diferencias metabólicas y estructurales en el remodelado cardíaco entre los dos ventrículos, en particular un mayor grado de fibrosis en el ventrículo derecho. Por otra parte, han observado que, en un corazón normal, el ventrículo izquierdo cuenta con una menor acumulación de triglicéridos que el derecho, debido probablemente a un mayor gasto energético, y esta diferencia se pierde en la progresión hacia la miocardiopatía dilatada.
Además, Vicenta Llorente indica que los resultados obtenidos “apuntan al lípido intramiocárdico como una potencial diana terapéutica en el control del remodelado cardíaco”. Actualmente, en línea con este trabajo, el equipo del CIBERCV realiza un estudio en muestras de miocardio humano con el objetivo de analizar el interés de los nuevos biomarcadores descubiertos en otras miocardiopatías y su relación con parámetros moleculares, lipídicos y funcionales.
Arritmias y muerte súbita, principal manifestación clínica
La miocardiopatía dilatada no isquémica (MCD) se caracteriza por dilatación del ventrículo izquierdo y disfunción sistólica global con arterias coronarias normales. La insuficiencia cardíaca progresiva, las arritmias ventriculares y supraventriculares, los tromboembolismos y la muerte súbita son las principales manifestaciones clínicas. Además, constituye la causa de insuficiencia cardiaca que con más frecuencia deriva en un trasplante cardiaco.
La remodelación ventricular que produce dilatación y disfunción ventricular ha sido ampliamente estudiada in vivo mediante técnicas no invasivas y post mortem en estudios humanos y animales por histopatología y análisis bioquímico. Sin embargo, el conocimiento actual de los mecanismos implicados en su génesis es aún limitado. Como resultado, los tratamientos son escasos y tienen una eficacia incompleta.
Artículo de referencia:
Identification of new biophysical markers for pathological ventricular remodelling in tachycardia-induced dilated cardiomyopathy. Benitez-Amaro, Samouillan, Jorge, Dandurand, Nasarre, de Gonzalo-Calvo, Bornachea, Amoros-Figueras, Lacabanne, Vilades, Leta, Carreras, Gallardo, Lerma, Cinca, Guerra, Llorente-Cortés. https://www.ncbi.nlm.nih.gov/pubmed/29921039
